患者さんの
「肉体的/精神的」負担を
軽減
患者様のご希望や状態に合わせ、
様々な対応を行っています。
- 歯科恐怖症の方:睡眠無痛治療
- 1日で噛める歯が入る:All-on-4
- インプラント用CT 無料
費用:約60万円 期間:約5ヶ月
費用:約120万円 期間:約5ヶ月
費用:約430万円 期間:約18ヶ月
費用:約750万円 期間:約24ヶ月

患者様のご希望や状態に合わせ、
様々な対応を行っています。


費用:約60万円 期間:約5ヶ月


費用:約120万円 期間:約5ヶ月


費用:約430万円 期間:約18ヶ月


費用:約750万円 期間:約24ヶ月

初めに、当院で行うインプラント治療の一番重要な部分からお伝えします。
それは「コンピューターインプラント」。

人の力や能力には「限界」があります。
これは精密な治療を追求すればするほど、この限界にぶつかります。
しかし、これを簡単に超えてくれるのが「精密機器/コンピューター」です。
これらを利用することで、人為的ミスを最小限にするほか、より安全で精密なインプラント治療が可能になります。それぞれご紹介します。


CTとは、立体的(三次元)に骨の状態や神経の位置を把握できる特殊な撮影装置です。CTを利用することにより、診断に必要なあらゆる情報を三次元画像で得ることができます。
二次元のレントゲン(歯科医院にある通常のレントゲン)では見えなかった事、分からなかった事が、CTを利用することで正確な診査と診断ができ、安全性と治療のクオリティを高めることが可能となります。

CTデータを専用のソフトに取り込むことで、オペ前に何度でもシミュレーションが可能になります。これまで、歯茎を切開してみなければ分らなかった事が、手術前に分ってしまうことが特徴です。どの部分にどのサイズのインプラントを埋入するのか、血管・神経を避けるにはどの部分に埋入するのが適切かなどを把握することができ治療の精度が格段に向上します。

ガイドとは、インプラントを埋入する部分に穴が開いているマウスピース型の装置です。この穴は様々な診断結果が反映されており、この穴に沿ってインプラントを埋入することで、理想の位置に埋入が可能になります。これを利用することで人為的ミスを最小限にすることができます。

これはコンピューターとは関係ないのですが、滅菌された空間でのオペ処置も重要な要素となるためこちらに記載しました。

基本的にインプラント手術では身体への負担が大きい全身麻酔ではなく、通常の治療の際に使用する局所麻酔を用います。局所麻酔だとしても、手術中の痛みを抑えられます。
しかし、局所麻酔なので意識がはっきりとしていますので、手術中の物音や会話が全て聞こえてしまい、緊張や不安を感じてしまうことがあります。このことが原因で、心身に大きなストレスをもたらし、場合によってはパニックになったり、呼吸・血圧・脈拍等に影響を与えることもあります。
そこで全身麻酔に近いにも関わらず身体に負担の少ない「静脈内鎮静法」という方法を当院では採用しています。この静脈内鎮静法により患者様は「うとうと」した状態になり緊張や不安を感じないまま手術を終える事が出来ます。
この方法を利用した患者様のほとんどが「気づいたら終わっていた」とお話しされます。もちろん、副作用や後遺症などありませんのでご安心ください。
当院では、静脈内鎮静麻酔を行う場合は、提携している麻酔専門医の先生と共に治療を行います。


インプラントメーカーは全世界で200社、日本国内でも30社存在するといわれておりますが、安全性がしっかりと立証されているメーカーはそれほど多くありません。当院では、インプラントの研究・科学的な文献による裏付けや生産管理がトップクラスであるノーベルバイオケア社とストローマン社のインプラントを併用しています。ストローマンインプラント社(世界シェア1位)、ノーベルバイオケア社(世界シェア2位)となります。

シェアを獲得しているということは、多くのドクターにその有効性が認められているからに他なりません。
粗悪なメーカーは自然に淘汰されます。
どのメーカーも世界中の歯科医院で使用されており、過去の臨床実績も豊富で、安心して使用できるインプラントといえます。

All-on-4(オールオンフォー)という治療はご存じでしょうか?
この治療法は、4本~6本のインプラントを埋入し、全部(片顎12本)の人工歯を支える治療法です。
次のような方にお勧めしている治療法です。

このような方にとっては従来法のインプラントではなく、All-on-4を選択されることをお勧めします。
その理由は下記になります。
以下、一般的なインプラント治療とAll-on-4との「比較」になります。



また、当院ではAll-on-4だけでなく、通常のインプラント治療も行っていますので、1本~数本のインプラント治療を希望される方でも対応しています。

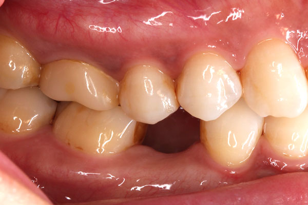
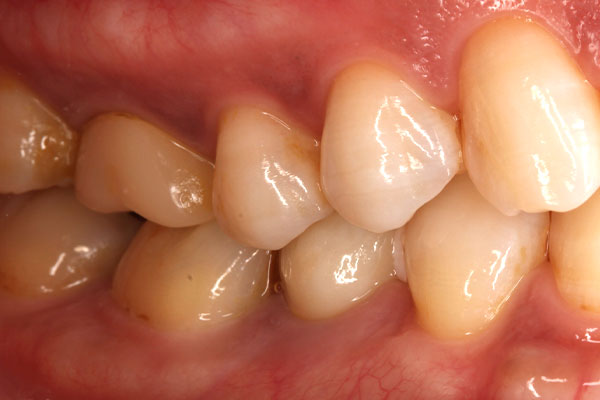
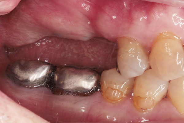
インプラント治療は外科処置が伴いますので、「怖い」「痛い」「腫れる」「時間がかかる」等のイメージがあると思います。

しかし、ケースによるのですが、「切らずに、縫わずに、腫れずに」そして「短時間」で治療を行えることもあります。
その治療法を「フラップレス(無切開)治療」というのですが、一般的に行われている「歯茎の切開」は行わず、小さい穴を開けそこにインプラントを埋入する方法になります。
通常の方法では「歯茎を切開」するので、処置後の「縫合」が必要となり処置時間が長くなります。また、身体へのダメージがありますので、治療後の「痛み・腫れ」の原因となります。
しかしフラップレスでは、そもそも歯茎を切開しないので、縫合の必要もなく、治療後の痛みや腫れを最小限にすることができます。
一般的な方法![]() | フラップレス![]() | |
| 歯茎の切開 | 必要 | 不要 |
| 処置後の縫合 | 必要 | 不要 |
| 痛み | ある | 少ない |
| 腫れ | ある | 少ない |
| 処置時間 | 比較的長い | 10分程度 |
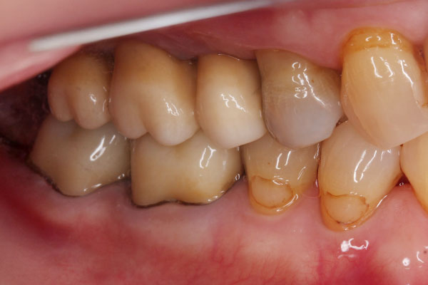
あごの骨が少なくなっている場合、基本的にインプラントを埋め込むことはできないのですが、骨再生治療や骨移植術という技術を駆使することで、少なくなったあごの骨を増やし、インプラントを埋め込むことが可能になります。この術式には「ソケットリフト」「サイナスリフト」「GBR」などがあります。



また、お口の状態によっては、骨再生療法等ではなく、骨がある部分を見つけ、その部分にインプラントを埋入する治療法も行っています。骨再生療法の場合、骨が形成されるまでに一定の時間を要するため、治療期間が長くなってしまうというデメリットがありましたが、この治療法はそのデメリットを克服したものです。
具体的には、短いインプラント(ショートインプラント)を使う方法、骨のある部分に傾斜させて埋入する方法(傾斜埋入)などの術式を利用します。
ショートインプラント
傾斜埋入

ブロック骨移植とは、自分の骨の一部を足りない部分に入れて骨を増やす方法です。
ブロック骨移植の場合は、自家骨(自分の骨)を使用するのが一般的です。
移植をする前には、自家骨の採取が必要になります。
自家骨は、下あごの奥歯の外側の骨やオトガイ(あごの先)から取るのが基本です。
ブロック骨移植手術では、骨が足りない部分に採取した自家骨を埋めたあと、ネジで固定して歯茎を閉じたら終了です。
数ヶ月後に骨が定着したのを確認後、インプラントを入れていきます。
ただ、最近では人工骨の材質が向上していて、自家骨を使用するケースが少なくなっています。
また、自家骨を採取する手術と移植する手術、インプラントと3回の手術が必要になり、身体への負担が大きくなりがちです。
そのため現在では、ブロック骨移植をする歯医者も減っている傾向があります。
当院では、このような高い技術力が求められるインプラント治療を実施しておりますので、他院で「骨がないのでインプラントはできません」と言われた場合でも当院で対応可能なケースがあります。お悩みの方は一度当院にご相談ください。
リッジプリザベーションは歯の抜歯後に行われる歯科治療の一つで、歯槽骨(歯を支える骨)を温存することを目的としています。具体的には、抜歯窩に人工骨材料やコラーゲンスポンジなどの骨補填材を入れ、歯槽堤の吸収を抑制します。抜歯後の骨の吸収が抑えられれば、その後のインプラント治療がスムーズに行うことができ、インプラントの長期的な安定にも繋がります。費用は55,000円(税込)です。
インプラントは、下記の3つの構造で作られています。それぞれの部位で当院では保証期間を設けています。

※ 保証条件として、定期メンテナンスに通うこと、歯科医院が意図するレベルで日常的な口腔管理が行えていること、精神的に安定していること、ナイトガード着用指示があった場合にそれを遵守することが条件となります。詳しくは当院までお問い合わせください。
インプラントのメンテナンス費用はこちら
よく、「インプラントを入れればお口の手入れは不要ですよね」とご質問されることがありますが、「天然歯よりもしっかりとお手入れする必要があります」とお答えしています。
インプラントは人工物なので、天然歯のように虫歯にはなりません。しかし、歯周病にはなります(インプラントの場合は「インプラント周囲炎」と呼びます)。インプラントを埋入した後に脱落することがあるのですが、多くは、この「インプラント周囲炎」が原因です。
歯周病と同様の症状で、インプラントを支えている骨が細菌により徐々に溶かされ、最終的にはインプラントを支えきれず脱落してしまう病気です。インプラントは天然歯と比べて、3倍歯周病になりやすいという報告も出ています。

当院では「科学的根拠に基づいた予防プログラム」を組んでいます。

今や歯科医療も進歩し、「インプラント周囲炎を防ぐためにはどうすればいいのか」、「インプラント周囲炎になってしまった場合どのような処置をすれば改善するのか」などが科学的に実証されており、その通り行えば、インプラント周囲炎はコントロールが可能になっています。
この手法は日本でも広まっていますが、忠実に実施している医院はほとんどありません。
行うべき全体の一部だけを取り入れているのがほとんどだと思います。
具体的には、各種口腔内検査により、歯質の状態、インプラント周囲炎のなりやすさなどのデータを取得し、PMTC(専門の機器を用いたプロによるクリーニング)やTBI(ブラッシング指導)、生活習慣改善を併用した患者様独自のオーダーメイドのプログラムを構築していきます。
これからは、治療後のメンテナンス(特にインプラント周囲炎)にどれだけ力を入れている医院なのかを、事前に見極めることが大切となります。

ロケーター義歯とは、2本のインプラントで入れ歯を支える入れ歯治療です。
ロケーターインプラントとも呼ばれ、通常の入れ歯と違い、固定源がしっかりと確保されるため、入れ歯自体がずれたりすることなく、食事時によく噛みやすいと好評の入れ歯です。
同じようなものとして「All-on-4」というものがありますが、これはインプラントを最低でも4本利用します。ロケーター義歯は2本のインプラントで済みますので、手軽な治療となります。また費用的負担も少なくなります。
また、入れ歯特有の「金属のバネ」も利用しませんので、入れ歯を入れていることに気づかれにくくなりますし、その日のうちに入れ歯が入りますので、すぐにおいしく食事をとっていただくことができます。

様々なメディアで「インプラント」は取り上げられて おりますので、この言葉を耳にしたことがある方は多いかと思います。
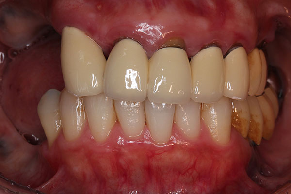
インプラント治療は、歯を失ったところを回復する治療としては、現在の歯科医療において最先端の治療方法だと言えます。この治療法では、歯を失われた箇所に人工のネジを埋め込み、その上にかぶせものを装着します。
それにより、天然歯と同程度の噛む力まで回復することが可能です。後述する入れ歯やブリッジと異なり、周囲の天然歯に負担を掛けることもなく、見た目においてもほとんど自分の歯と変わらないこともインプラントの特徴です。

入れ歯は歴史ある治療法です。入れ歯には、「部分入れ歯」や「総入れ歯」など失った歯の本数に応じて様々な形態の入れ歯が存在します。
インプラント・ブリッジ・入れ歯の中では安定感がないと言われておりましたが、近年では入れ歯に用いる素材や技術は日進月歩で改善されており、快適に利用できる入れ歯を作ることが可能となっております。
また、当院のドクターは、大学病院で入れ歯治療のノウハウを取得しておりますので、患者様からご要望の強い「よく噛みやすい」「痛くなりにくい」「目立ちにくい」入れ歯を高いレベルで提供することができます。
詳しくは入れ歯をご参照ください。

インプラント治療が普及する以前は、歯を失った場合における治療法の第一選択肢として「ブリッジ」が考えられていました。
ブリッジ治療では、右図のように失った歯の両隣の歯を削って土台を作り、両端から橋渡しをするような形で失った歯を補います。
ブリッジ治療の特徴である「両隣から橋渡しをするような形で失った歯を補う」ことにリスクが無さそうに思えますが、実はリスクが存在します。
しっかりと咬み合わせを考慮しないままブリッジにした場合,土台となる両隣の土台となる両隣の歯には大きな負担が掛かることでグラグラし始め、将来的に抜歯しなくてはならないケースが多く存在します。
このようなリスクをしっかりと認識したうえで治療法を選択することが大切です。

「自分の歯を可能な限り残す」
これが私の考えです。そして歯科医学的にも正しい答えになります。
私は、ご自身の歯を可能な限り残す治療を、この業界に入ってからずっと追求してきました。
しかし、残念ながら患者様から次のようなことを言われてしまう事があります。
「何度も治療に来るのが面倒なので、その歯を抜いてください」
「歯がなくなっても入れ歯とかインプラントがあるから問題ないですよね」
このようにお話しいただく患者様の気持ちは十分に理解できます。
しかし、ご自身の歯を超える治療法は存在しません。
これは「自分の歯のように噛みやすい」と言われているインプラントであっても同様です。
そのため、どうしても抜かなければならないケースを除いては、ご自身の歯を残す方向で治療法をご提案させて頂いております。
しかし、その歯を残すことで、その他の健康な歯に悪影響を及ぼしてしまう場合は、躊躇なく抜歯のご提案をさせて頂きます。
当院では、患者さんが抱えていらっしゃるお口のお悩みや疑問・不安などにお応えする機会を設けております。どんなことでも構いませんので、私たちにお話ししていただけたらと思います。
ご興味がある方は下記からお問い合わせください。
![]()